Hapşırığını tutunca nefes borusu yırtıldı
Bir adam, hapşırığını tutmaya çalışırken nefes borusunda bir delik açmayı başardı. Uzmanlar bu tür bir yaralanmanın dünyada bir ilk olduğuna inanıyor.
Indy100'de yer alan habere göre, şiddetli bir hapşırık krizine yakalanan adam, hapşırığını serbest bırakmak yerine ağzını ve burnunu sıkıca kapatınca, zapt edilen hapşırığın gücü nefes borusunda 2x2 milimetrelik küçük bir delik açtı.
Tedaviyi üstlenen doktorlara göre bu kötü yaralanma, adamın solunum yollarını kapatması sonucu oluşan basıncın, normalde yaşayacağımızdan 20 kat daha güçlü bir etki oluşturması nedeniyle meydana geldi.
Adam hastaneye vardığında boynunun her iki tarafı da şişmiş ve şiddetli ağrılara neden olmuştu, ancak hala sorunsuz bir şekilde nefes alabiliyor, yutkunabiliyor ve konuşabiliyordu.
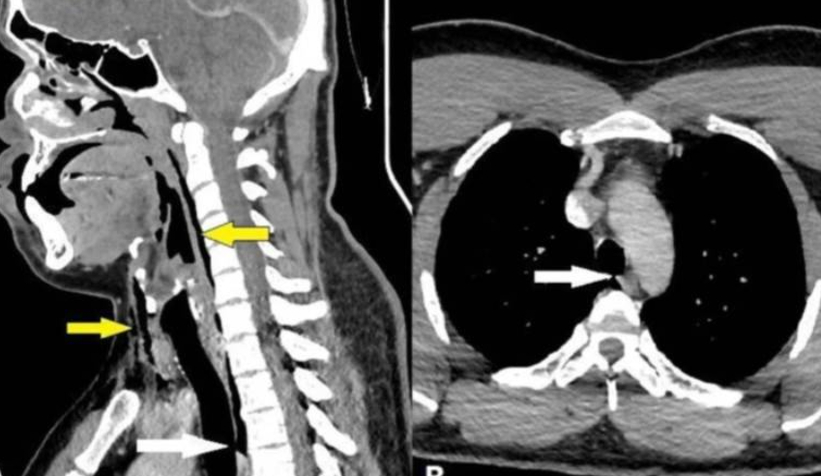
HAVA, DOKU ALTINDA SIKIŞIP KALDI
Röntgen çekildikten sonra, "cerrahi amfizem" adı verilen ve havanın kişinin vücudundaki en derin dokunun altında sıkışıp kalabildiği bir rahatsızlığı olduğu anlaşıldı. Hava, adamın boynundaki omurların yanı sıra göğsü ile akciğerleri arasındaki boşlukta sıkışıp kalmıştı.
Doktorlar tarafından yapılan kontroller neticesinde adamın ameliyata ihtiyacı olmadığı ve yırtığın, "soluk borusunda oluşan basınçtan kaynaklandığı" belirlendi.
İki gün boyunca hastanede tutulan adam, ağrı kesici ve saman nezlesi tedavisinin ardından taburcu edildi ve kendisine iki hafta boyunca yorucu fiziksel aktivitelerden kaçınması tavsiye edildi.
BİLİMSEL ÇALIŞMAYA KONU OLDU
BMJ Journals'da yayınlanan olayla ilgili bir çalışmada şu ifadeler yer aldı: "Trakeal [nefes borusu] perforasyonla sonuçlanabileceğinden, hapşırıkların ağız kapalıyken, burnu sıkıştırarak bastırılmaması tavsiye edilir..."
Olayın kahramanı, küçük ve önemsiz bir yaralanmaya maruz kalmış olsa da, hapşırığı bastırmanın kötü sonuçları olabilir.
Bu yüzden bir dahaki sefere hapşırmanız gerektiğinde, sadece bir mendil kullanmaya özen gösterin.

